File:PMC4800468 10.1177 2324709616638363-fig1.png
PMC4800468_10.1177_2324709616638363-fig1.png (512 × 376 pixels, file size: 152 KB, MIME type: image/png)
Summary
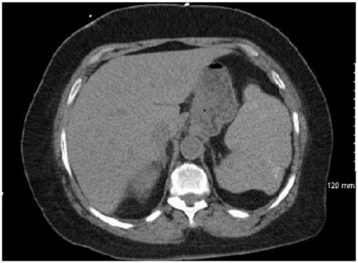
Open-I Acute Splenic Sequestration Crisis in a 70-Year-Old Patient With Hemoglobin SC Disease. Squiers JJ, Edwards AG, Parra A, Hofmann SL - Journal of investigative medicine high impact case reports (2016)
File history
Click on a date/time to view the file as it appeared at that time.
| Date/Time | Thumbnail | Dimensions | User | Comment | |
|---|---|---|---|---|---|
| current | 19:49, 12 August 2020 | 512 × 376 (152 KB) | Rossdonaldson1 (talk | contribs) | Open-I Acute Splenic Sequestration Crisis in a 70-Year-Old Patient With Hemoglobin SC Disease. Squiers JJ, Edwards AG, Parra A, Hofmann SL - Journal of investigative medicine high impact case reports (2016) |
You cannot overwrite this file.
File usage
The following page uses this file:

