Multiple sclerosis
Revision as of 21:16, 1 July 2016 by Neil.m.young (talk | contribs) (Text replacement - " pt " to " patient ")
Background
- CNS myelin destruction causes variable motor, sensory, visual and cerebellar dysfunction
Types
- Relapsing/remitting (most common)
- Relapse (days-months) followed by remission
- Secondary progressive
- Relapses and partial recoveries occur, but disability doesn't fade away between cycles
- Primary progressive
- Symptoms progress slowly and steadily without remission
- Progressive relapsing
- Similar to primary progressive but with superimposed flares
Clinical Features
- Classic patient has multiple presentations for neuro symptoms of different areas of pathology
- Pt often has resolution of the earlier symptoms
- Symptoms worsen w/ increases in body temperature (Uhthoff's phenomenon[1])
- Muscle/sensory signs:
- Lower extremity weakness usually worse than upper extremity
- Upper motor neuron signs:
- Hyperreflexia
- Positive Babinski
- Decrease in proprioception / pain/temp sensation
- Lhermitte sign
- Electric shock sensation radiating down back into arms/egs from neck flexion
- Optic neuritis
- Initial sign in 30% of patients
- Vision loss (usually unilateral) often preceded by retrobulbar pain
- Blurred vision
- Afferent pupillary defect is pathognomonic for optic neuritis
- Nystagus
- Diplopia
- Internuclear ophthalmoplegia
- Abnormal eye adduction bilaterally and horizontal nystagmus
- Convergence (both eyes center medially) is preserved
- Dysautonomia
- Urinary retention (increased risk of UTI/pyelo)
- Constipation or incontinence
- Sexual dysfunction (males)
Differential Diagnosis
Weakness
- Neuromuscular weakness
- Upper motor neuron:
- CVA
- Hemorrhagic stroke
- Multiple sclerosis
- Amyotrophic Lateral Sclerosis (ALS) (upper and lower motor neuron)
- Lower motor neuron:
- Spinal and bulbar muscular atrophy (Kennedy's syndrome)
- Spinal cord disease:
- Infection (Epidural abscess)
- Infarction/ischemia
- Trauma (Spinal Cord Syndromes)
- Inflammation (Transverse Myelitis)
- Degenerative (Spinal muscular atrophy)
- Tumor
- Peripheral nerve disease:
- Neuromuscular junction disease:
- Muscle disease:
- Rhabdomyolysis
- Dermatomyositis
- Polymyositis
- Alcoholic myopathy
- Upper motor neuron:
- Non-neuromuscular weakness
- Can't miss diagnoses:
- ACS
- Arrhythmia/Syncope
- Severe infection/Sepsis
- Hypoglycemia
- Periodic paralysis (electrolyte disturbance, K, Mg, Ca)
- Respiratory failure
- Emergent Diagnoses:
- Symptomatic Anemia
- Severe dehydration
- Hypothyroidism
- Polypharmacy
- Malignancy
- Aortic disease - occlusion, stenosis, dissection
- Other causes of weakness and paralysis
- Acute intermittent porphyria (ascending weakness)
- Can't miss diagnoses:
Diagnosis
Work-Up
- LP
- IgG
- Albumin
- Oligoclonal bands
- myelin basic protein
- Cell count
- Glucose
- Protein
- Gm stain
- CBC, Chemistry
- UA
- MRI w/ GAD of brain (+/- spine)
Evaluation
- CSF
- Elevated protein and gamma-globulin (increased oligoclonal bands)
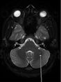
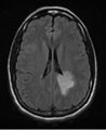
- MRI
- Multiple lesions in supratentorial white matter, paraventricular area, spinal cord
Treatment
- Fever must be reduced to minimize weakness assoc w/ elevated temperature
- Abx for UTI/pyelo
- High-dose steroid therapy for relapses
Disposition
- Hospitalization indicated for:
- Any disease exacerbation a/w significant morbidity
- IV abx or steroid therapy required
- Depression and significant risk of suicide
See Also
References
- ↑ Flensner G, et al. "Sensitivity to heat in MS patients: a factor strongly influencing symptomology-an explorative survey". BMC Neurol. 2011. 11:27.
