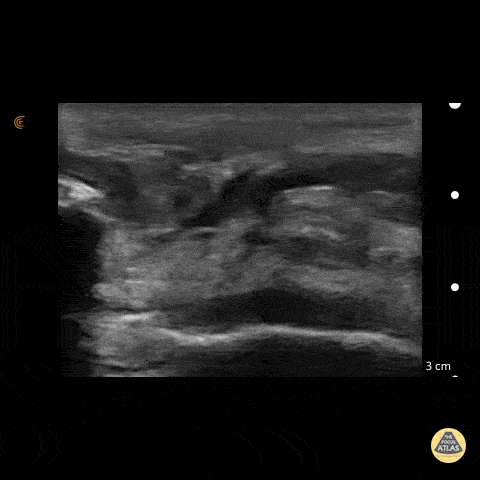
File:Patellar Tendon Rupture.gif
Patellar_Tendon_Rupture.gif (480 × 480 pixels, file size: 691 KB, MIME type: image/gif, looped, 58 frames, 5.8 s)
Note: Due to technical limitations, thumbnails of high resolution GIF images such as this one will not be animated.
http://www.thepocusatlas.com/musculoskeletal/ Submitted by Dr. Hannah Moreira, Dr. Tareq Azad, and Dr. Kyle Kelson
File history
Click on a date/time to view the file as it appeared at that time.
| Date/Time | Thumbnail | Dimensions | User | Comment | |
|---|---|---|---|---|---|
| current | 20:23, 10 January 2018 | 480 × 480 (691 KB) | Bobzmac (talk | contribs) | http://www.thepocusatlas.com/musculoskeletal/ Submitted by Dr. Hannah Moreira, Dr. Tareq Azad, and Dr. Kyle Kelson |
You cannot overwrite this file.
File usage
The following page uses this file:

