File:Dissection.png
Size of this preview: 706 × 600 pixels. Other resolution: 1,030 × 875 pixels.
Original file (1,030 × 875 pixels, file size: 352 KB, MIME type: image/png)
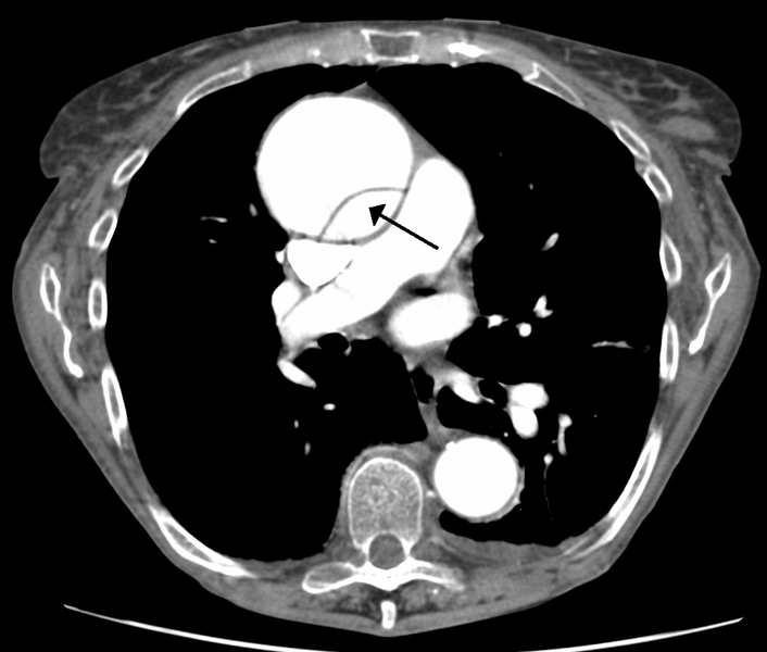
CT chest with contrast of thoracic aortic dissection.
File history
Click on a date/time to view the file as it appeared at that time.
| Date/Time | Thumbnail | Dimensions | User | Comment | |
|---|---|---|---|---|---|
| current | 17:45, 19 May 2016 | 1,030 × 875 (352 KB) | Alvarez13 (talk | contribs) | CT chest with contrast of thoracic aortic dissection. |
You cannot overwrite this file.
File usage
The following page uses this file:
