Bladder ultrasound
Revision as of 19:18, 9 April 2016 by Neil.m.young (talk | contribs)
Background
- Bladder ultrasounds can be used independently for volume measurements or in conjunction with other exams such as FAST, renal studies, and pelvic ultrasounds
- Bladder volume = length x width x height x 0.52[1]
Indications
- Urinary retention
- Urinary catheter confirmation
- Free fluid in the pelvis
- Determine post void residual
- Nephrolithiasis in the UVJ
- Typically included in renal ultrasound and FAST exams
Technique
- Select probe
- Phased array or curvilinear probe
- Location
- Suprapubic
- Landmarks
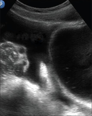
- Identification: anechoic (black) fluid within a structure defined by hyperechoic (white) appearing borders
- Obtain sagittal and transverse images
- Use calc function to attain bladder volume
- Optimize image quality
- May need to turn down far gain 2/2 acoustic enhancement from bladder
- May use power doppler over the inferior border can demonstrate ureteral jets
Findings
- Bladder volume/post-void residual
- Use calc mode and measure in 3 dimensions (anterior posterior, right left, and superior inferior)
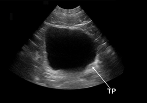
- Stones
- Ureteral jets can indicate patent ureter
- Twinkle Sign: Rapid alternation of color immediately behind a stationary echogenic object, acquiring a false appearance of movement in color doppler mode
- Can indicate stone in the UVJ
- Free fluid
- Anechoic (black) fluid outside the bladder is suggestive of free fluid
- Look for 'pointy edges' which increases suspicion for fluid not in another structure (cyst, ovary, bowel, etc)
Images
Normal
Abnormal
Free Fluid
Kidney Stone
Pearls and Pitfalls
- Ureteral jets indicate patent ureter but the absence of it does not mean obstruction
Documentation
A bedside ultrasound was conducted to assess for bladder volume with clinical indications of urinary retention. The bladder was identified and viewed in the transverse and sagittal plane. The bladder volume was calculated to be ***ml.
‘’See Renal ultrasound, FAST exam, and Transabdominal pelvic ultrasound for further documentation for in other indications’’
Clips
Normal Exam
External Links
See Also
- Ultrasound: In Shock and Hypotension
- Ultrasound (Main)
- Ultrasound: Pelvic
- Ultrasound: Renal
- Ultrasound: Signs
References
- ↑ Dicuio M et al. Measurements of urinary bladder volume: comparison of five ultrasound calculation methods in volunteers. Arch Ital Urol Androl. 2005 Mar;77(1):60-2.


