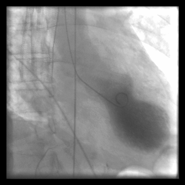
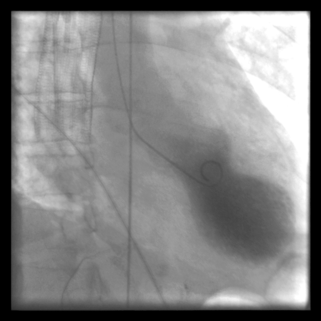
File:Takotsubo ventriculography.gif
Size of this preview: 600 × 600 pixels. Other resolution: 1,024 × 1,024 pixels.
Original file (1,024 × 1,024 pixels, file size: 302 KB, MIME type: image/gif)
File history
Click on a date/time to view the file as it appeared at that time.
| Date/Time | Thumbnail | Dimensions | User | Comment | |
|---|---|---|---|---|---|
| current | 02:28, 2 December 2015 | 1,024 × 1,024 (302 KB) | Alvarez13 (talk | contribs) |
You cannot overwrite this file.
File usage
The following page uses this file:
