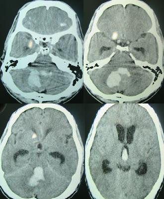
File:Posterior fossa hemorrhage.jpg
Posterior_fossa_hemorrhage.jpg (330 × 400 pixels, file size: 36 KB, MIME type: image/jpeg)
"Posterior fossa hemorrhage" by Yadav YR, Mukerji G, Shenoy R, Basoor A, Jain G, Nelson A - Yadav YR, Mukerji G, Shenoy R, Basoor A, Jain G, Nelson A (2007). "Endoscopic management of hypertensive intraventricular haemorrhage with obstructive hydrocephalus". BMC Neurol 7: 1. doi:10.1186/1471-2377-7-1. PMID 17204141. PMC:1780056. http://www.biomedcentral.com/1471-2377/7/1. Licensed under CC BY 2.0 via Wikimedia Commons - https://commons.wikimedia.org/wiki/File:Posterior_fossa_hemorrhage.jpg#/media/File:Posterior_fossa_hemorrhage.jpg
File history
Click on a date/time to view the file as it appeared at that time.
| Date/Time | Thumbnail | Dimensions | User | Comment | |
|---|---|---|---|---|---|
| current | 22:36, 16 March 2015 | 330 × 400 (36 KB) | Rossdonaldson1 (talk | contribs) | "Posterior fossa hemorrhage" by Yadav YR, Mukerji G, Shenoy R, Basoor A, Jain G, Nelson A - Yadav YR, Mukerji G, Shenoy R, Basoor A, Jain G, Nelson A (2007). "Endoscopic management of hypertensive intraventricular haemorrhage with obstructive hydrocephalu |
You cannot overwrite this file.
File usage
The following 2 pages use this file:

