File:Takayasu MRA.png
Revision as of 07:21, 20 February 2017 by Devin Smith (talk | contribs) (MRA of a patient with significant vascular narrowing from Takayasu Arteritis Takayasu arteritis: criteria for surgical intervention should not be ignored. Perera AH, Mason JC, Wolfe JH - Int J Vasc Med (2013) Open Access)
Takayasu_MRA.png (512 × 504 pixels, file size: 226 KB, MIME type: image/png)
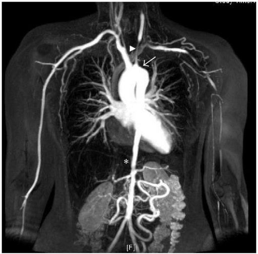
MRA of a patient with significant vascular narrowing from Takayasu Arteritis
Takayasu arteritis: criteria for surgical intervention should not be ignored. Perera AH, Mason JC, Wolfe JH - Int J Vasc Med (2013) Open Access
File history
Click on a date/time to view the file as it appeared at that time.
| Date/Time | Thumbnail | Dimensions | User | Comment | |
|---|---|---|---|---|---|
| current | 07:21, 20 February 2017 | 512 × 504 (226 KB) | Devin Smith (talk | contribs) | MRA of a patient with significant vascular narrowing from Takayasu Arteritis Takayasu arteritis: criteria for surgical intervention should not be ignored. Perera AH, Mason JC, Wolfe JH - Int J Vasc Med (2013) Open Access |
You cannot overwrite this file.
File usage
The following page uses this file:

