Boxer's fracture: Difference between revisions
No edit summary |
|||
| Line 16: | Line 16: | ||
==Management== | ==Management== | ||
*Indications for reduction are contingent upon angulation and rotation. | *Indications for reduction are contingent upon angulation and rotation. | ||
*[[Ulnar Gutter Splint]] | |||
**Any rotational deformity should be fixed to allow proper hand function. | **Any rotational deformity should be fixed to allow proper hand function. | ||
**10 degrees of angulation is tolerated in the 1st and 2nd metacarpals, while the third and fourth metacarpals can tolerate up to 40 degrees of angulation. | **10 degrees of angulation is tolerated in the 1st and 2nd metacarpals, while the third and fourth metacarpals can tolerate up to 40 degrees of angulation. | ||
==See Also== | ==See Also== | ||
Revision as of 16:08, 10 November 2015
Background
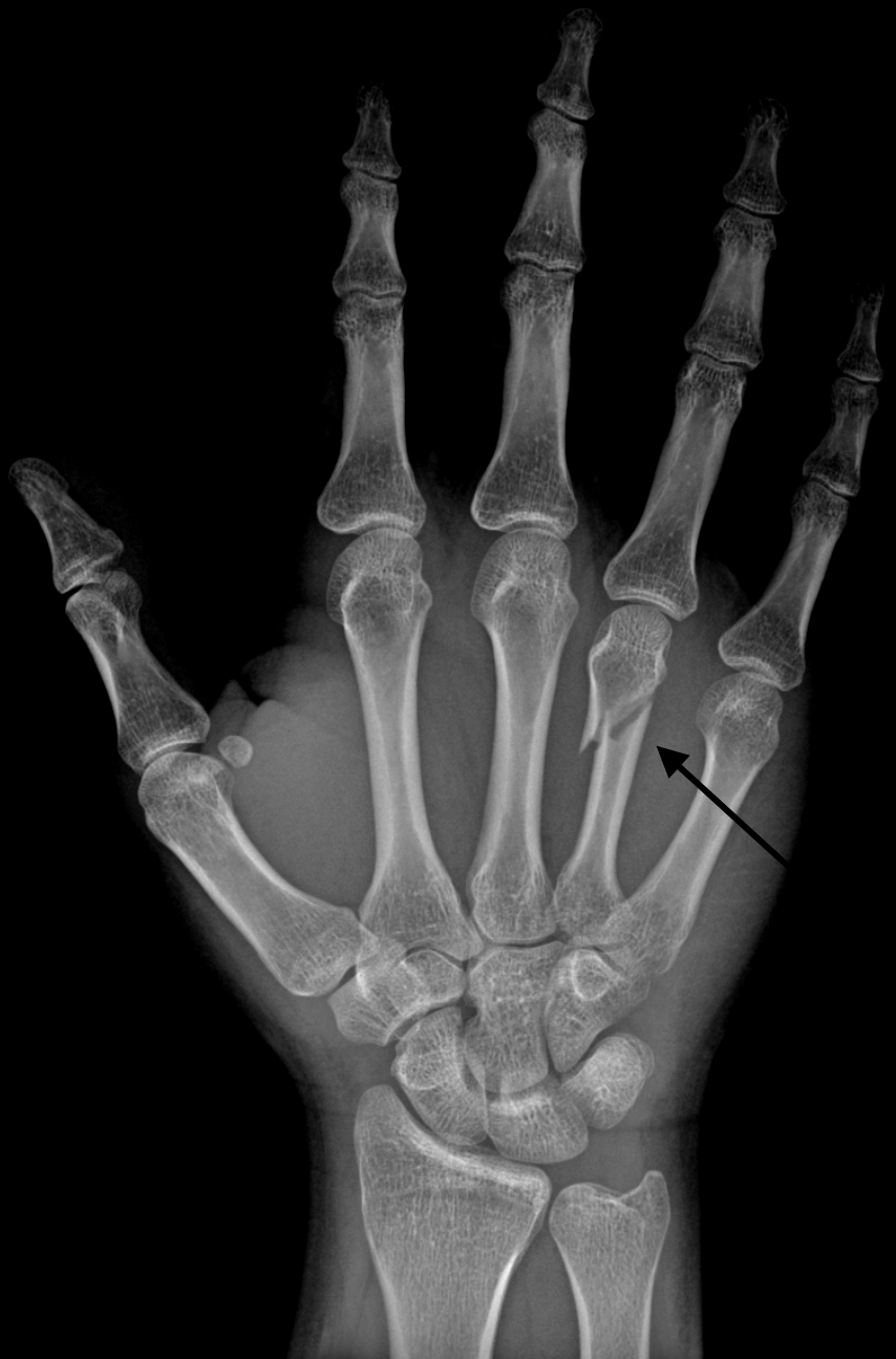
- Fracture of the fourth or fifth metacarpal bones caused by an axial load, typically from punching a person or object.
Clinical Features
- Pain or swelling along the fourth or fifth metacarpals
- Volar angulation of metacarpal or "missing 4th/5th knuckle"
- Always look for areas of skin breakdown, as these may signify a Fight Bite.
Imaging
- Typically seen on AP or lateral hand radiographs
Differential Diagnosis
Hand and Finger Fracture Types
Management
- Indications for reduction are contingent upon angulation and rotation.
- Ulnar Gutter Splint
- Any rotational deformity should be fixed to allow proper hand function.
- 10 degrees of angulation is tolerated in the 1st and 2nd metacarpals, while the third and fourth metacarpals can tolerate up to 40 degrees of angulation.

