Ocular ultrasound: Difference between revisions
(→Source) |
Neil.m.young (talk | contribs) No edit summary |
||
| Line 47: | Line 47: | ||
[[Category:Ophtho]] | [[Category:Ophtho]] | ||
[[Category:Rads]] | [[Category:Rads]] | ||
[[Category:Ultrasound]] | |||
Revision as of 15:46, 1 November 2015
Technique
- Use vascular/linear probe
- Plenty of ultrasound gel to decrease amount of pressure needed to place on eye
Elevated ICP
- Measure optic nerve 3mm posterior to the globe, from inner wall to inner wall
- Normal is <5mm
Globe Rupture
- Only perform if you can ensure that you do not put pressure on the globe
- Findings
- Decrease in size of globe
- Anterior chamber collapse
- Vitreous hemorrhage
- Buckling of the sclera
- see Globe Rupture
Intraocular Foreign Body
- Bright, echogenic acoustic profile w/ associated shadowing or reverberation
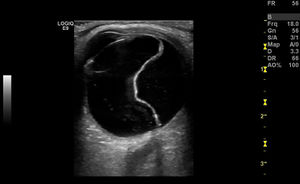
Retinal Detachment
- Echogenic undulating membrane in the posterior globe, protruding into the vitreous
- Evaluate with patient moving eye left/right
- SN 97-100% and SP 83-100%[1]
Vitreous Hemorrhage
- Vitreous filled with multiple large echoes
- Increasing the gain is helpful for detecting acute hemorrhages
See Also
External Links
Video
{{#widget:YouTube|id=LWOByFjjemc}}
References
- ↑ Vrablik, ME, et al. The Diagnostic Accuracy of Bedside Ocular Ultrasonography for the Diagnosis of Retinal Detachment: A Systematic Review and Meta-analysis. Annals of Emergency Medicine. 2015; 65(2):199–203.e1.
